細胞培養簡介
什么是細胞培養?
細胞培養是指從動物或植物中取出細胞,然后使其在合適的人工環境中生長。這些細胞可于培養前直接從組織中取出并采用酶或機械方法進行解離,或者也可來自已經建立的細胞系或細胞株。
原代培養
原代培養是指將細胞從組織中分離后,使其在合適的條件下增殖直到占據所有可用基質(即:達到匯合狀態) 的培養階段。在此階段,必須將細胞轉移到新的容器中并更換新鮮培養基,從而對細胞進行傳代培養,為其提供更多繼續生長的空間。
細胞系
首次傳代培養后,原代培養物即被稱為細胞系或者亞克隆。來自于原代培養的細胞系壽命有限 (即:有限細胞系,見下文),隨著細胞的傳代,生長能力最強的細胞會占據優勢,最終導致細胞群體在基因型和表型上達到一定程度的均一性。
細胞株
如果將細胞系的一個亞群通過克隆或者其他方法從培養物中明確地選擇出來,則此細胞系就成為一個細胞株。與親代細胞系起始時相比,細胞株往往會獲得其他一些遺傳學改變。
有限細胞系
與連續細胞系正常細胞通常只能分裂有限的次數,隨后就會喪失增殖的能力,這是一個由遺傳決定的事件,被稱為衰老;這種細胞系被稱為有限細胞系。但是,一些細胞系會通過被稱為轉化的過程變為永生性細胞系,這一過程可自然發生,也可經化學或病毒誘導發生。有限細胞系發生轉化獲得無限分裂能力后,就成為連續細胞系。
培養條件
各種細胞的培養條件相差很大,但是細胞培養的人工環境必須包括合適的容器,容器中含有一定的基質或介質,為細胞提供必需的營養素 (氨基酸、碳水化合物、維生素、礦物質)、生長因子、激素和氣體 (O2、CO2),并可調節其物理化學環境 (pH、滲透壓、溫度)。
大多數細胞均具有貼壁依賴性,必須貼附在固體或半固體基質上培養 (貼壁或者單層培養),而另一些細胞則可在培養基中漂浮生長 (懸浮培養)。凍存如果傳代時有多余的細胞,可通過適當的保護劑 (例如:DMSO 或甘油) 處理細胞,儲存在 –130°C 以下的溫度下 (凍存),直到需要使用之時。
培養細胞的形態
根據形狀和外觀 (即:形態) 可將培養的細胞分為三大類。
? 成纖維細胞 (或者成纖維細胞樣細胞) 為雙極或多極細胞,呈細長形,貼附在基質上
生長。
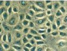
? 上皮樣細胞呈多角形,尺寸更為規則,貼附在基質上呈散在斑片狀生長。
? 淋巴母細胞樣細胞呈球形,通常懸浮生長,不貼附在基質表面。
細胞培養的應用
細胞培養是細胞和分子生物學中最重要的一項技術,可為細胞正常生理和生化 (例如:代謝研究、衰老研究)、藥物和毒性化合物對細胞的作用以及致突變和致癌研究提供上佳的模型系統。細胞培養還可用于藥物篩選和開發以及生物化合物 (例如:疫苗、治療性蛋白) 的大規模生產。細胞培養在上述領域應用的主要優勢在于,可以使用一批同源細胞獲得穩定、可重復的結果。
北京天優福康生物科技有限公司
官網:http://www.njjinzhong.com/
服務熱線:400-860-6160
聯系電話/微信:13718308763
QQ:2136615612 3317607072
E-mail:Tianyoubzwz@163.com


